
โดย รศ.นพ.ศิระ เลาหทัย
แพทย์ผู้เชี่ยวชาญศัลยศาสตร์
ทรวงอกเฉพาะทางด้านการผ่าตัดส่องกล้องในช่องทรวงอก โรงพยาบาลวชิรพยาบาล

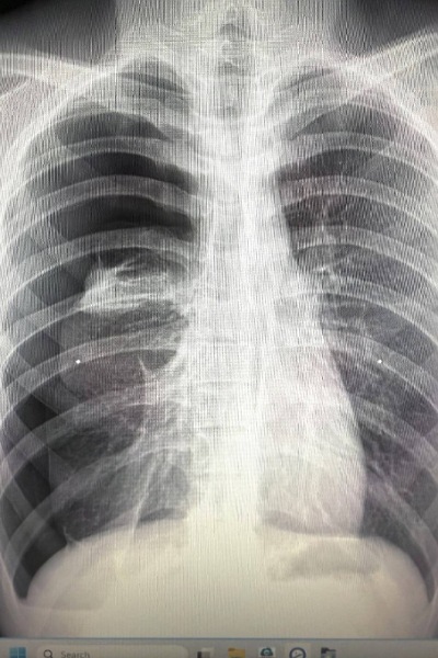
เมื่อไม่นานมานี้ ผมได้เจอเคสผู้ป่วยหญิงอายุราว 40 ปี มารักษาด้วยอาการเจ็บแน่นหน้าอก เป็น ๆ หาย ๆ อยู่หลายครั้ง แต่ไม่รู้สึกเหนื่อย รู้สึกว่าเมื่อมีอาการเจ็บหน้าอกทุกครั้ง มักจะเป็นในช่วงขณะมีประจำเดือน จึงมีอยู่ช่วงหนึ่งมีอาการเจ็บหน้าอกมากจึงรีบมาพบแพทย์ที่โรงพยาบาล หลังจากการตรวจสอบเอกซเรย์ พบว่าเป็นโรคลมรั่วในเยื่อหุ้มปอด ซึ่งมีโอกาสเสียชีวิตสูงหากไม่ทำการรักษา จึงรีบรับการรักษาตัวเข้าโรงพยาบาล

ซึ่งโดยปกติแล้วโรคลมรั่วในเยื่อหุ้มปอดจะมีจาก 3 สาเหตุ ได้แก่ 1) เกิดขึ้นได้เอง (Spontaneous Pneumothorax) มักเกิดในคนที่มีอายุน้อย ผอม สูง, 2) เกิดจากอาการมีโรคร่วม (Secondary Pneumothorax) พบในผู้ป่วยที่มีภาวะถุงลมโป่งพอง, 3) ลมรั่วขณะมีประจำเดือนที่เกิดจากช็อตโกตแลตซีสต์กระจายมา (Endometriosis Migration) โดยโรคลมรั่วขณะมีประจำเดือนนั้น โอกาสการเกิดโรคนี้ค่อนข้างยาก พบเจอไม่บ่อยมากนัก ผู้ป่วยเพศหญิงส่วนมากมักมาด้วยสาเหตุด้วยลมรั่วในปอดราว 20-30 % โดยภาวะลมในเยื่อหุ้มปอดชนิดนี้ เจอในเฉพาะเพศหญิงช่วงอายุ 32-37 ปีโดยอาจจะสัมพันธ์กับช็อตโกแลตซีสต์ในช่องท้อง หรือ มดลูกหรือ ไม่ก็ได้ โดยสาเหตุการเกิดของโรคนั้นยังไม่แน่ชัด ทั้งนี้อาการที่เกิดมักจะสัมพันธ์กับประจำเดือน ส่วนมากมักจะมีอาการเจ็บแน่นหน้าอกหรือหายใจไม่สุด ในบางครั้งอาจมีอาการเหนื่อย โดยมักจะเป็นในช่วง 24-72 ชั่วโมงนับตั้งแต่เริ่มมีประจำเดือนมาในวันแรก

รศ.นพ.ศิระ เลาหทัย แพทย์ผู้เชี่ยวชาญศัลยศาสตร์ ทรวงอกเฉพาะทางด้านการผ่าตัดส่องกล้องในช่องทรวงอก โรงพยาบาลวชิรพยาบาล กล่าวว่าจากการวินิจฉัย ส่วนมากการทำ X-Ray หรือ ทำเอกซเรย์คอมพิวเตอร์ (CT Chest) หรือ MRI อาจพบได้ แต่อย่างไรก็ตามยังไม่มีการตรวจใดมีประสิทธิภาพที่สามารถวินิจฉัยโรคนี้ได้โดยตรง โดยในบางรายอาจพบถุงลมบริเวณยอดของปอดร่วมด้วยได้ (Lung Bleb) ในส่วนของการรักษาในโรคลมรั่วในเยื่อหุ้มปอดนี้ ประกอบด้วย 2 อย่าง ได้แก่1)การรักษาด้วยการผ่าตัด(ส่องกล้อง) และ2)การรักษาด้วยยา

โดยรักษาด้วยการผ่าตัดภาวะลมรั่วในเยื่อหุ้มปอดขณะมีประจำเดือนนั้น ในปัจจุบันภาวะลมรั่วในเยื่อหุ้มปอดสามารถทำได้โดยการผ่าตัดผ่านการส่องกล้อง (Video Assisted Thoracoscopic Surgery; VATS) หรือ การผ่าตัดเปิดแบบดั้งเดิม (Open Thoracotomy)โดยเป้าหมายของทั้ง 3 วิธี ได้แก่ 1. จัดการสาเหตุของลมรั่ว โดยการหาสาเหตุของลมรั่วจากปอดให้พบ เช่น ถุงลม (blebs, bullae) ที่แตกและทำการซ่อมแซมหรือตัดบริเวณส่วนนั้น 2. การทำสร้างพังผืด (Surgical Pleurodesis) ระหว่าง Parietal และ Visceral Pleura เพื่อทำให้เกิดการอักเสบ เพื่อลดอัตราการกลับมาเป็นซ้ำ โดยสามารถทำได้หลายวิธี เช่น การลอกเยื่อหุ้มปอด (Pleurectomy) หรือ การขูดบริเวณเยื่อหุ้มปอด (mechanical pleural abrasion ) และใส่สารเคมีบริเวณเยื่อหุ้มปอด (Chemical Pleurodesis) และ 3. ตัดบริเวณกระบังลมที่มีการกระจายตัวของช็อตโกแลตซีสต์ (Resection of Fenestrated Diaphragm) โดยผลของการผ่าตัดเปรียบเทียบระหว่างการผ่าตัดเปิดกับผ่าตัดส่องกล้องพบว่าผ่าตัดส่องกล้อง สามารถลดภาวะเสี่ยงได้ ดังนี้ 1. ลดภาวการณ์ปวดหลังจากการผ่าตัด 2. ลดระยะเวลาการนอนโรงพยาบาล และ3.ลดภาวะแทรกซ้อนของการผ่าตัด

นอกจากนี้หลังจากการผ่าตัดส่องกล้อง เราควรรักษาด้วยยาอย่างต่อเนื่อง เพื่อป้องกันการกลับมาเป็นซ้ำ โดยยาที่เราเลือกใช้ควรเป็นกลุ่ม Gonadotrophin-Releasing Hormone (GnRH) Analogue ควรใช้อย่างน้อย 6-12 เดือน นับตั้งแต่หลังจากการผ่าตัด สำหรับผู้หญิงที่ต้องการมีบุตรในคนไข้กลุ่มนี้ควรต้องปรึกษาแพทย์ผู้เชี่ยวชาญร่วมด้วยเพื่อวางแผนการรักษา อย่างไรก็ตามถึงแม้ว่าจะได้รับการผ่าตัดไป โรคนี้ยังคงมีโอกาสกลับมาเป็นซ้ำ โดยพบอุบัติการณ์การกลับมาเป็นซ้ำ 20-30% โดยสาเหตุอาจเกิดจากการคุมตัวช็อตโกแลตซีสต์ไม่อยู่ ฉะนั้นผู้ป่วยคนไหนมีอาการดังกล่าวให้รีบมาโรงพยาบาลเพื่อปรึกษาแพทย์นะครับ หากท่านใดสงสัยสามารถสอบถามผ่านทาง inbox ได้หรือทาง lineofficial account; @lungsurgeryth #ผ่าตัดปอด #ผ่าตัดส่องกล้อง #มะเร็งปอด #ลมรั่วในเยื่อหุ้มปอดโดยปรึกษาผ่านเพจเฟซบุ๊ก ผ่าตัดปอด รศ.นพ.ศิระ เลาหทัย ได้ที่ Lineid:@lungsurgeryth หรือเว็บไซต์ https://www.siradoctorlung.com

