โดย รศ.นพ.ศิระ เลาหทัย
ศัลยแพทย์ทรวงอกจากศูนย์ผ่าตัดส่องกล้อง โรงพยาบาลวชิรพยาบาล

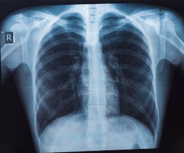
รศ.นพ.ศิระ เลาหทัย ศัลยแพทย์ทรวงอกจากศูนย์ผ่าตัดส่องกล้อง โรงพยาบาลวชิรพยาบาล กล่าวว่า มีคำถามยอดฮิตที่ว่า “เจอจุดที่ปอด (lung nodule) มีโอกาสเป็นมะเร็งกี่เปอร์เซ็นต์?” นั้นหลายครั้งที่เราไปตรวจสุขภาพแล้วพบเจอฝ้าขาว เมื่ออ่านผลรังสีวินิจฉัยพบเจอความผิดปกติในฟิล์มเอกซเรย์ปอด ทั้ง ๆ ที่เรายังไม่มีอาการผิดปกติใด ๆ เลย สิ่งที่สำคัญที่สุด ก็คืออย่าเพิ่งตกใจเราต้องหาสาเหตุของจุดที่เกิดขึ้นมีจริงหรือไม่ โดยวิธีการที่หาสาเหตุที่ดีที่สุดคือการทำเอกซเรย์คอมพิวเตอร์(CT scan) แต่ไม่ควรที่จะทำเอกซเรย์ซ้ำ เพราะไม่เกิดประโยชน์ เนื่องจากการทำฟิล์มเปรียบเสมือนการถ่ายภาพ 2 มิติ เห็นแค่ด้านหน้า-หลัง ส่งผลทำให้เกิดผลภาพลวงได้บ่อย เปรียบเทียบกับการทำเอกซเรย์คอมพิวเตอร์เห็นรายละเอียด เป็นลักษณะของก้อนเนื้อว่าสงสัยมะเร็ง
หรือไม่ รวมทั้งมีจริงหรือไม่ หากการทำเอกซเรย์คอมพิวเตอร์ CT scan ไม่มีจุดหรือไม่พบจุด บางที่สิ่งที่เราเห็นจากฟิล์ม คือเงาที่ซ้อนทับกัน เนื่องจากมุมภาพ กรณีนี้มั่นใจได้ ว่าไม่มีอะไร ใช้ชีวิตปกติ ติดตามตรวจสุขภาพประจำปี ในทางกลับกัน เมื่อใดหากเราได้ทำเอกซเรย์คอมพิวเตอร์แล้วเจอว่ามีจุดที่ปอดที่ปอดจริงๆ โดย สาเหตุอาจเกิดได้จาก 1) มะเร็ง (อาจจะเป็นมะเร็งปอดหรือมะเร็งจากที่อื่นกระจายมา), 2) วัณโรคและ 3) อย่างอื่น ๆ เช่น เนื้องอกธรรมดาของปอด หรือ ในช่องทรวงอก

ซึ่งปกติเมื่อทำเอกซเรย์คอมพิวเตอร์ (CT scan) มักจะเจอจุดโอกาสเป็นมะเร็งแค่ 1% แนะนำควรเจอแพทย์ที่มีความเชี่ยวชาญ เช่น หมอโรคปอดหรือหมอผ่าตัดปอด เพื่อจะดูความน่าจะเป็น หรือติดตามอย่างไรดี ในกรณีที่เรียกว่าแจ็คพอตแตก ก็คือเมื่อใดที่สงสัยว่าก้อนเนื้อ อาจจะเป็นเนื้อร้ายการเอาชิ้นเนื้อเป็นสิ่งที่สำคัญที่สุดโดยสามารถทำได้หลายวิธี เช่น การส่องกล้องผ่านหลอดลม (Bronchoscope)โดยการเจาะเอาชิ้นเนื้อโดยการทำเอกซเรย์คอมพิวเตอร์ (CT guide Biopsy) ผ่าตัด (Surgical biopsy) ดังนั้นแนะนำการทำเอกซเรย์คอมพิวเตอร์ปอด (CT scan) จึงเป็นการฉายรังสีเอ็กซ์ไปที่ส่วนของหน้าอกหรือปอด โดยภาพจากการฉายรังสีนั้นจะถูกบันทึกลงในแผ่นฟิล์มที่มีความละเอียดสูง ซึ่งแพทย์จะใช้ในการตรวจวินิจฉัยความสมบูรณ์ของอวัยวะภายใน ทั้งทรวงอก ปอด และโครงสร้างข้างเคียง อีกทั้ง ปัจจุบัน วิวัฒนาการเราสามารถทำ Low dose CT การเอกซเรย์คอมพิวเตอร์ใช้รังสีต่ำ จึงเป็นการตรวจอย่างหนึ่งที่นิยมใช้กันมาก ในการคัดกรองมะเร็งปอดเพราะเป็นการตรวจที่ง่ายและสามารถคัดกรองได้เบื้องต้น ไม่เป็นอันตรายเพราะใช้รังสีที่มีปริมาณน้อย โดยรูปแบบการทำงานของเครื่องเอกซเรย์ปอดจะใช้เพื่อให้ได้ภาพรังสีของภาพภายในปอดทั้งหมด ปัจจุบันประเทศไทยได้ทำ“การเอกซเรย์ปอด” เป็นเครื่องมือสำคัญในการวินิจฉัยระบบการทำงานอวัยวะภายในที่ผิดปกติ ไม่ว่าจะเป็นการตรวจเช็คตั้งแต่บริเวณอวัยวะส่วนทรวงอกจนไปถึงส่วนของโครงสร้างกระดูกที่ครอบคลุมบริเวณปอดและหัวใจ ซึ่งเป็นอวัยวะสำคัญในการดำเนินชีวิตของมนุษย์ ดังนั้นการตรวจเอกซเรย์ปอด (การตรวจเช็คอวัยวะภายในของบริเวณส่วนทรวงอกที่ประกอบไปด้วยโครงกระดูก ปอดและหัวใจเป็นหลัก และได้มีการพัฒนาให้ภาพฉายรังสีถูกสแกนเป็นระบบดิจิตอล ทำให้ผู้ป่วยได้รับการวินิจฉัยที่แม่นยำมากขึ้น

ติดตามข่าวสารของ รศ.นพ.ศิระ เลาหทัย (ศัลยแพทย์ทรวงอก)ได้ที่เฟซบุ๊ก : ผ่าตัดปอดโดยรศ.นพ.ศิระ เลาหทัย หรือ Youtube : ผ่าตัดปอด หรือ Lineid:@lungsurgeryth หรือเว็บไซต์ https://www.siradoctorlung.comได้ทุกช่องทาง

